公司动态
 
首页 > 公司动态  >  靶点星选第三期|核内参LMNB1

靶点星选第三期|核内参LMNB1

2026-01-07

靶点介绍

LMNB1,全称为Lamin B1(核纤层蛋白B1),是构成细胞核核纤层(nuclear lamina)的关键结构蛋白之一。核纤层是位于内核膜下的一层纤维状网络,起到支撑核膜、维持核形态、组织染色质和调控基因表达等作用。LMNB1是细胞核纤层的关键结构蛋白,其核心生理功能是为细胞核提供机械支撑以维持核的形态与完整性,并作为支架将染色质锚定于核周边,从而调控基因表达。此外,它通过参与DNA复制、修复以及细胞分裂过程中核膜的崩解与重建,对保障基因组稳定性和细胞正常增殖至关重要。LMNB1的功能失常直接关联于细胞衰老、神经系统退行性病变及肿瘤发生等多种病理过程。

蛋白分子量

LMNB1蛋白质的标准序列586个氨基酸,理论分子量约66kDa,实际蛋白分子量约70kDa。

亚细胞定位

LMNB1主要定位于细胞核的核纤层。

组织分布

LMNB1广泛表达于几乎所有组织的细胞中,尤其在大脑、胎盘、子宫、卵巢等组织中表达较高。

数据库链接分享

产品亮点

索莱宝开发的LMNB1抗体具有良好的物种交叉反应性和优异的特异性,适用于多种样本类型与研究场景。LMNB1抗体不仅能高效识别人、小鼠及大鼠样本中的LMNB1蛋白,还可与猴、斑马鱼、兔、猪、鸡及小麦等其他物种的对应蛋白发生交叉反应,显示出广泛的适用性。

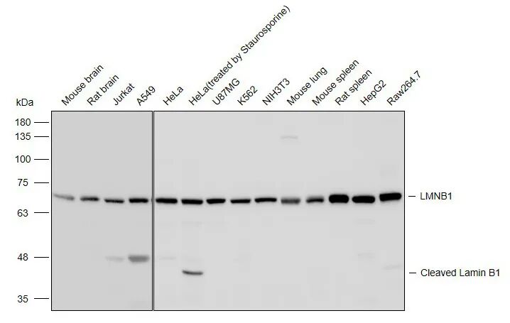
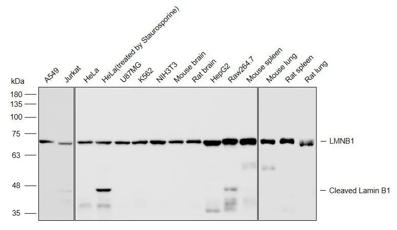
抗体的可靠性在细胞凋亡相关机制研究中得到进一步验证。星形孢菌素(Staurosporine)作为凋亡诱导剂,可激活细胞内Caspase蛋白酶,进而特异性切割LMNB1蛋白,产生约45 kDa的C端片段和约25 kDa的N端片段,这一过程是核纤层解体与凋亡推进的关键标志。使用LMNB1抗体可在蛋白质印迹(WB)中清晰检测到全长LMNB1及其凋亡相关剪切片段。

此外,部分LMNB1抗体已通过WB、IHC、IF、IP、FCM及ELISA等多种免疫学实验验证,在不同实验体系中均表现出稳定性高、信号清晰、特异性强等特点,能够满足在蛋白质表达定位、相互作用及功能研究中的多维度需求。

 

产品展示

01

K011726RR

ActivAbTMAnti-Lamin B1 Recombinant Antibody

抗体类型:重组兔单抗

验证图片:

 

02

K016134RR

ActivAbTMAnti-LMNB1 Recombinant Antibody

抗体类型:重组兔单抗

验证图片:

03

K112668P

ActivAbTMAnti-LMNB1 Polyclonal Antibody

抗体类型兔多抗

验证图片:

04

K000167M

ActivAbTMAnti-LMNB1 Monoclonal Antibody

抗体类型:鼠单抗

验证图片:

相关产品

凤凰彩 星启娱乐