前言
针对不同实验样本,索莱宝推出多类甲-苯胺蓝染色液,可精准适配细胞、血涂片、骨髓涂片,及动植物组织石蜡切片、冰冻切片染色场景,充分契合您的多元实验需求。
产品详情
产品原理
甲-苯胺蓝(Toluidine Blue O)是一种噻嗪类染料,化学式为C14H12N2Cl2,分子量为293.21,CAS:92-31-9,属于醌亚胺染料类,是碱性染料。甲-苯胺蓝分子结构中含有胺基和醌型苯环两大发色团,外加两个助色团,使其成为带正电的阳离子染料。其异染性来源于醌型苯环,可分别表示为α-异染性(阴性),呈蓝色,即正染性;β-异染性(弱阳性),为紫色或紫红色;γ-异染性(阳性),为红色。
产品应用
植物木质化细胞壁染色:
甲-苯胺蓝染色液可根据植物组织和细胞的不同成分的不同pH染成蓝绿色或紫红色,可用于植物成分鉴别。
尼氏体染色:
尼氏体(Nissl body)或称尼氏小体是分布于神经细胞胞质内的三角形或椭圆形小块状物质,具有嗜碱性,能被甲-苯胺蓝染成蓝紫色。
软骨基质、透明软骨染色:
软骨基质中的硫酸软骨素、硫酸角质素为异色性物质,含有酸性硫酸根,而酸性硫酸根与嗜碱性染料有亲和力,遇到甲-苯胺蓝可呈异染性紫红色。
肥大细胞染色:
肥大细胞(Mast cells)细胞质内含有肝素和组胺等异色性物质,与甲-苯胺蓝结合时显紫红色。
细胞样本染色:
甲-苯胺蓝可与富含硫酸化糖胺聚糖(肝素+硫酸软骨素)的细胞如软骨细胞、嗜碱性粒细胞,发生典型异染(紫红/红色),其他细胞呈蓝色(正染),对比鲜明。
产品信息
染色结果
G1436
使用产品:G1436
实验样本:小鼠脑冠状面石蜡切片
结果描述:尼氏体为蓝紫色,神经元细胞核为蓝色
G2543
l 使用产品:G2543
l 实验样本:小鼠鼻梁骨石蜡切片
l 结果描述:软骨为紫红色,背景和细胞核为蓝色
G3660
使用产品:G3660
实验样本:小鼠新鲜全血涂片
结果描述:淋巴细胞和嗜碱性细胞为紫红色,红细胞为蓝色
G3670
l 使用产品:G3670
l 实验样本:1-小鼠心脏石蜡切片,2-小鼠肺脏石蜡切片
l 结果描述:肥大细胞胞质为紫红色,细胞核为蓝色

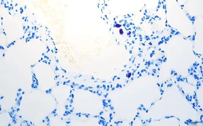
G4807
使用产品:G4807
实验样本:白菜茎横切石蜡切片
结果描述:中间木质化细胞壁为蓝绿色,非木质化细胞壁为紫蓝色
相关产品